“手术第二天就能下地,痛感比想象中轻很多。”在梅州市人民医院关节外科病房,刚完成膝关节置换的李师傅扶着助行器慢慢走了几步,言语间满是对快速康复的欣喜。李师傅是在梅州市人民医院接受“智能骨科手术机器人辅助人工关节置换术”的患者之一。
近日,梅州市人民医院关节外科成功完成多例“智能骨科手术机器人导航辅助下人工关节置换术”,这一技术突破将大幅提升人工关节髋、膝置换手术的精准度与安全性,为患者带来更优的治疗体验和长期效果。

技术突破:
当人工智能遇上骨科手术
传统人工关节置换术主要依赖医生的经验与肉眼判断,而智能骨科手术机器人系统的引入,彻底改变了这一局面。该系统集成了高精度三维成像、实时导航和机械臂辅助操作三大核心技术,为每位患者量身定制手术方案。
手术过程中,系统首先通过CT扫描获取患者关节的精确三维模型,AI算法自动规划出最佳假体放置位置、角度和深度。术中,光学导航系统实时追踪手术器械和患者骨骼的位置关系,机械臂在医生控制下执行精准截骨和假体植入,误差控制在毫米级以内。
患者受益:
精准、微创、快速康复
“相比传统手术,机器人辅助关节置换术具有明显优势。”梅州市人民医院关节外科黄健主任介绍,“首先是精准度大幅提升,假体放置位置更加理想,有效延长假体使用寿命;其次是手术创伤更小,出血量减少;最重要的是个性化定制,完全按照患者独特的骨骼解剖结构进行手术规划。”


人工关节置换智能机器人AI术前规划
由于截骨精准,周围软组织的损伤更小,术中出血量也相应减少。几位首批手术的患者反馈,术后疼痛比预期要轻,康复进程也比预想中顺利,提高了患者生活质量。“关节假体就像轮胎,如果安装角度不对,一边磨损就会特别快。”黄健主任打了个比方,“机器人辅助就是为了把角度装正,让假体用得久一些。”

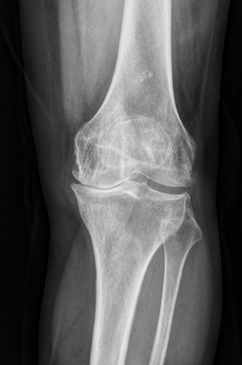
术前关节内翻畸形

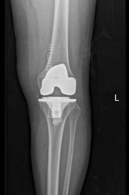
术后关节力线恢复
团队实力:
技术与经验的完美结合
机器人是辅助工具,而不是替代医生。手术的核心决策者和操作者,仍然是有经验的骨科医生。
梅州市人民医院关节外科作为区域关节疾病诊疗中心,多年来在人工关节置换领域积累了丰富经验。与德国德累斯顿大学附属医院、香港玛丽医院、四川大学华西医院等国内外顶级骨科专科保持合作,医、教、研各方面的专科综合实力持续增强。年完成各类关节置换手术600余例、关节镜手术1000余例。为确保新技术顺利开展,科室选派骨干医师赴国内外顶尖医疗中心接受专项培训,并与工程技术团队深入合作,将临床需求与技术创新紧密结合,形成了一套完整的手术流程和质量控制体系。

编辑:张晓珊
审核:黄炜明
请输入验证码