前段时间,一场突破心血管介入手术“禁区”的高难度术式在梅州市人民医院介入导管室紧张地进行。这是一名86岁高龄的超大瓣环主动脉瓣反流(PAR)患者,以往这类患者只能选择外科开胸换瓣手术,但该患者高龄且基础病多,难以承受外科手术。
面对患者的难处,梅州市人民医院党委书记、院长、心血管病中心主任钟志雄教授和心脏瓣膜病中心主任钟炜教授大胆开拓创新,在国际上首创“叠加锚定瓣膜植入技术(Plus Anchor Valve Implantation,简称‘PAVI’)”,使用TaurusElite瓣膜完成经导管主动脉瓣置换术,一次性处理并有效改善了患者的主动脉瓣重度反流症状,手术取得圆满成功。

超大瓣环难以锚定
以往微创手术无法开展
86岁的老伯近年来活动后经常出现胸闷、气促,伴有心悸、头晕、乏力等症状,前段时间症状进一步加重,于是来到梅州市人民医院心血管内科门诊就诊。入院检查后发现老伯患有主动脉瓣、二尖瓣、三尖瓣等多处心脏瓣膜关闭不全,且均为重度,同时伴有阵发性心房颤动、急性心力衰竭、原发性高血压、肺炎等多种疾病。
其中,主动脉瓣膜位于左心室和主动脉之间,是心脏血液循环最重要的“阀门”。主动脉瓣这个阀门发生狭窄或关闭不全,就会导致血液返流,引起左心室扩大,心脏逐渐出现动力不足甚至功能衰竭,患者会出现胸闷、憋气、胸痛,严重者会发生猝死。该类型高龄患者最佳选择是通过经导管主动脉瓣置换术(TAVR)微创介入手术治疗。但由于老伯是超大瓣环,瓣膜尺寸不足、锚定力不够,导致无法常规开展该术式。

超大瓣环通俗地说,就是一个门的门框太大,导致新门安装不上,会出现移位、错位等,风险非常高。既往对于超大瓣环PAR患者,均不建议做微创介入手术,只能通过外科手术治疗,不少外科高危患者因此丧失了救治的机会,成为心血管领域棘手的难题。
全球首例叠加锚定瓣膜植入技术(PAVI),为高龄超大瓣环患者赢得新的治疗机会
为了给老伯争取微创手术治疗的机会,也为该类患者争取突破微创手术禁区的可能,梅州市人民医院钟志雄教授、钟炜教授团队巧妙设计手术方案,并在术前多次进行体外3D模型验证及动物体内试验性手术之后,决定迎难而上,为老伯开展“叠加锚定瓣膜植入技术(PAVI)”。
术中,手术团队精准操作器械缓缓进入患者体内,从右股动脉的主攻,到左股动脉与右肱动脉的巧妙辅助,形成了一套完美的“三路并进”策略,人工瓣膜在瓣环零位精准定位,辅助锚定器瞬间释放,确保了瓣膜的稳定植入与完美贴合。手术圆满完成,叠加封堵器械有效锚定人工主动脉瓣膜并成功释放,术后患者主动脉瓣反流明显改善。
术前主动脉根部造影:可见主动脉瓣大量反流,左心室扩大
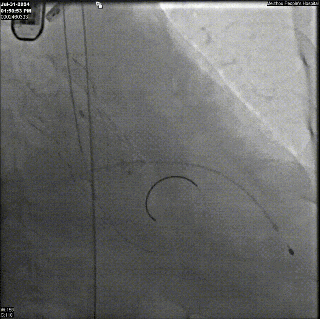
最终造影观察:无PVL,冠脉正常显影,瓣膜最终位于瓣下约2mm
术后4天,主动脉瓣膜植入后反流明显改善,瓣膜植入效果好,锚定器械无位移。
钟炜教授介绍,术中使用可回收的TaurusElite 主动脉瓣置换系统进行操作,该人工瓣膜底端最大直径为33mm,有更高的压缩比,同时它与锚定器械均为镍钛合金材料,2个器械的径向支撑力可以互相抵住对方,起到有效锚定,这也是这项技术能够成功的关键。
钟志雄教授表示,本例超大瓣环PAR患者PAVI手术的成功,是医院心血管病中心团队与超声、影像、ICU、麻醉、护理等相关科室通力合作的成果,标志着梅州市人民医院使用自膨瓣行经导管主动脉瓣置换手术治疗重度主动脉瓣反流的水平迈上了一个新台阶!
根据文献查阅,这是国际心脏瓣膜病领域首次报道使用这项技术,结合技术特点以及参考行业内顶尖专家意见,梅州市人民医院将该技术命名为:“叠加锚定瓣膜植入技术(Plus Anchor Valve Implantation,简称‘PAVI’)”,希望该技术的探索和推广,能够助力救治更多的超大瓣环PAR患者,也为中国瓣膜病介入诊疗技术的发展提供新的案例和经验。


编辑:罗欢欢
审核:练海林
请输入验证码