67岁的苏女士近半年来饱受右下肢疼痛折磨,从梅州到周边多地辗转求医,尝试了理疗、药物等多种治疗方式,症状却始终反复,甚至逐渐加重,弯腰吃力、行走困难,生活陷入阴霾。其儿子得知中山三院粤东医院脊柱外科长期有中山三院专家驻诊后,慕名带母亲前来求医。
精准诊断揪"元凶" 微创技术破难题
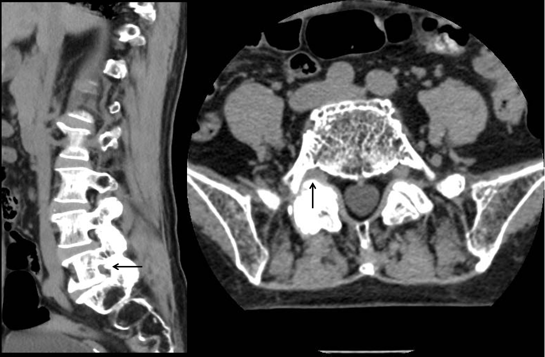
接诊后,中山三院脊柱外科派驻中山三院粤东医院的专家刘仲宇主任指导团队为苏女士进行了系统评估。通过详细的病史询问、体格检查并结合影像学资料,刘主任敏锐发现其右下肢疼痛根源并非此前其他医院诊断的“腰椎间盘突出”、“肌肉劳损”或者“神经系统病变”,而很可能是由L5-S1右侧椎间孔狭窄导致的右侧L5神经根受压所引起。“椎间孔是神经根穿行的通道,当这个空间因骨质增生、韧带肥厚等原因变窄时,神经就会被卡住,引发剧烈疼痛。”刘主任解释道。
为了进一步明确诊断,团队为患者实施了选择性右侧L5神经根造影及封闭检查,在透视下将药物精准注射至疑似病变神经根周围,以达到暂时麻痹病变神经根的目的。注射药物前患者在手术室坐2分钟即出现右下肢疼痛难忍的情况,而注射后立即让患者再次尝试坐位7分钟后仍未出现右下肢不适。说明右侧L5神经根就是病变神经根,证实了诊疗团队的病因推测,明确了诊断。

术前DR

术前CT

术前MR
针对这一复杂病情,结合患者身体状况,团队决定采用目前先进的微创技术——单侧双通道内镜技术(UBE)切除增生骨质,解除神经压迫。相较于传统开放手术,UBE仅需两个1厘米左右的切口,通过椎旁入路精准到达病灶,切除增生的右侧S1上关节突尖部,扩大椎间孔,既能彻底解除神经压迫,又最大限度保护脊柱稳定性。手术顺利完成,术后次日苏女士即感右下肢轻松,坐起吃饭30分钟也没有出现疼痛,“像卸下了千斤重担”。

术中透视

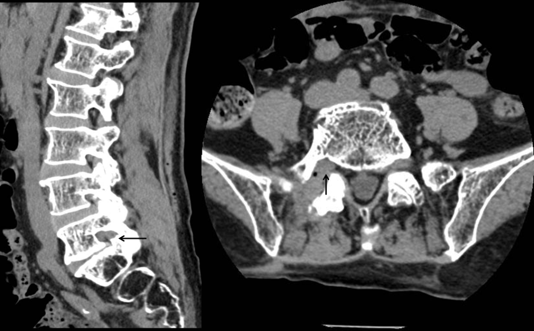
术后CT

术前术后CT对比
家门口看名医 粤东医疗新高地
“广州专家的确名不虚传!”苏女士一家感慨万分。中山大学附属第三医院脊柱外科是国内权威的微创脊柱外科中心,作为中山大学附属第三医院托管单位,我院脊柱外科常年由广州院本部专家带队坐诊,将椎体成形骨水泥强化、椎间孔镜、UBE等先进微创技术引入粤东地区,服务当地百姓。科室配备脊柱内镜系统、微动力系统、超声骨刀、神经监护等先进设备,对腰椎间盘突出、椎管狭窄、脊柱骨折等疾病形成个性化治疗方案,对标广州院本部,让患者免于长途奔波之苦。

专家提醒,下肢放射性麻痛超过2周需警惕脊柱病变,应及时到脊柱外科就诊。早诊断、早干预可避免神经不可逆损伤。
如今,摆脱病痛的苏女士已能自如行走,脸上重现笑容。这例高难度UBE手术的成功,不仅彰显了我院脊柱外科的硬核实力,更印证了优质医疗资源下沉给基层患者带来的切实福祉。
专家简介





编辑:陈慧聪(实习)张晓珊
审核:张英昊
请输入验证码